The Apprentice Doctor

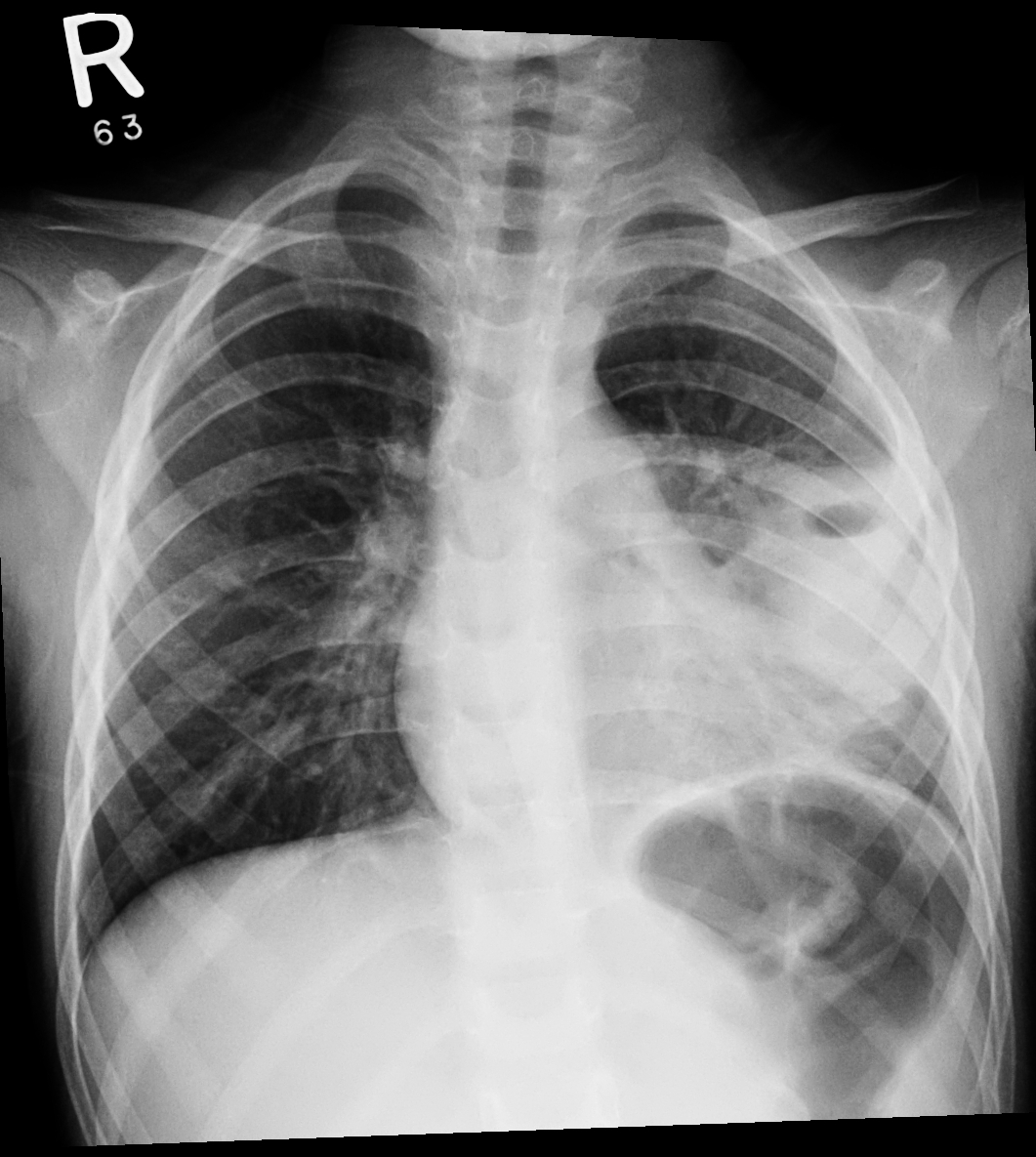
Chest Xray

Discussion in 'Spot Diagnosis' started by Egyptian Doctor, May 5, 2016.

  1. Ismail Hassan ibrahim

    Ismail Hassan ibrahim Young Member

    Joined:
    Apr 12, 2016
    Messages:
    1
    Likes Received:
    0
    Trophy Points:
    5
    Gender:
    Male
    Practicing medicine in:
    Saudi Arabia
    Lung collapse/atelactasis
     

  2. João Ala

    João Ala Young Member

    Joined:
    Oct 15, 2015
    Messages:
    2
    Likes Received:
    0
    Trophy Points:
    10
    Gender:
    Male
    Practicing medicine in:
    Portugal
    Condensation
     

  3. ngoc minh

    ngoc minh Well-Known Member

    Joined:
    May 6, 2016
    Messages:
    7
    Likes Received:
    0
    Trophy Points:
    225
    Gender:
    Male
    Practicing medicine in:
    Vietnam
    lung collapse
     

  4. smith macharia

    smith macharia Well-Known Member

    Joined:
    May 27, 2016
    Messages:
    10
    Likes Received:
    0
    Trophy Points:
    225
    Gender:
    Male
    Practicing medicine in:
    Kenya
    pneumonia
     

  5. sashka

    sashka Well-Known Member

    Joined:
    May 31, 2016
    Messages:
    9
    Likes Received:
    0
    Trophy Points:
    220
    Gender:
    Female
    Practicing medicine in:
    Serbia
    .
     

  6. Md. Zaki Shahriar Sourav

    Md. Zaki Shahriar Sourav Young Member

    Joined:
    Jun 1, 2016
    Messages:
    4
    Likes Received:
    2
    Trophy Points:
    15
    Gender:
    Male
    Practicing medicine in:
    Bangladesh
    Lung abscess in left lung middle zone
     

  7. Riham

    Riham Bronze Member

    Joined:
    Jan 13, 2016
    Messages:
    831
    Likes Received:
    80
    Trophy Points:
    1,350
    Gender:
    Female
    Practicing medicine in:
    Egypt
    Left lobar pnaeumonia
     

  8. bilalmasood

    bilalmasood Young Member

    Joined:
    Jun 15, 2016
    Messages:
    1
    Likes Received:
    0
    Trophy Points:
    10
    Gender:
    Male
    Practicing medicine in:
    Pakistan
    Left lower lobe homogenous opacity
     

  9. Diogo Gameiro

    Diogo Gameiro Young Member

    Joined:
    Jun 17, 2016
    Messages:
    1
    Likes Received:
    0
    Trophy Points:
    5
    Gender:
    Male
    Practicing medicine in:
    Portugal
  10. Anuroop

    Anuroop Young Member

    Joined:
    Oct 4, 2016
    Messages:
    1
    Likes Received:
    0
    Trophy Points:
    10
    Gender:
    Male
    Practicing medicine in:
    India
    Pl
    Lft pleural effusion
     

  11. Poonam Saraswat Sharma

    Poonam Saraswat Sharma Bronze Member

    Joined:
    Oct 7, 2016
    Messages:
    351
    Likes Received:
    3
    Trophy Points:
    660
    Gender:
    Female
    Practicing medicine in:
    India
    ???
     

  12. Tonywilson

    Tonywilson Famous Member

    Joined:
    Jan 10, 2017
    Messages:
    62
    Likes Received:
    0
    Trophy Points:
    295
    Gender:
    Male
    Practicing medicine in:
    Nigeria
    left lung abscess, tracheal deviation
     

  13. dino

    dino Well-Known Member

    Joined:
    Jun 15, 2014
    Messages:
    5
    Likes Received:
    0
    Trophy Points:
    225
    Gender:
    Male
    Practicing medicine in:
    Bosnia Herzegovina
     

  14. dino

    dino Well-Known Member

    Joined:
    Jun 15, 2014
    Messages:
    5
    Likes Received:
    0
    Trophy Points:
    225
    Gender:
    Male
    Practicing medicine in:
    Bosnia Herzegovina
    Absces
     

Share This Page

<