The Apprentice Doctor

Chest Xray

Discussion in 'Spot Diagnosis' started by Egyptian Doctor, Mar 14, 2012.

  1. Endris Mohammed

    Endris Mohammed Well-Known Member

    Joined:
    Jan 23, 2014
    Messages:
    24
    Likes Received:
    0
    Trophy Points:
    240
    Gender:
    Male
    Practicing medicine in:
    Ethiopia
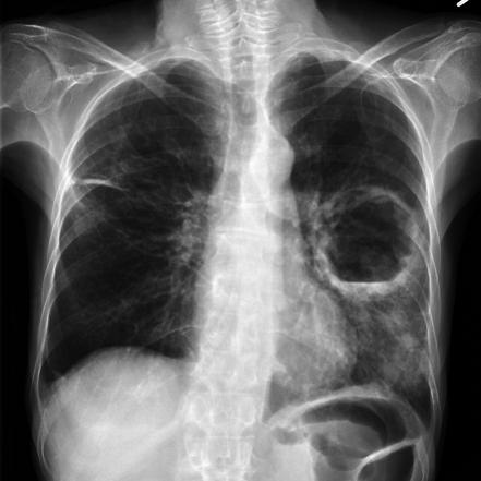
    canon ball lesion
     

  2. andreea95

    andreea95 Famous Member

    Joined:
    Dec 29, 2013
    Messages:
    28
    Likes Received:
    5
    Trophy Points:
    295
    Gender:
    Female
    Practicing medicine in:
    Romania
    cyst hydatic
     

  3. NinaSlavova

    NinaSlavova Famous Member

    Joined:
    Dec 23, 2013
    Messages:
    151
    Likes Received:
    5
    Trophy Points:
    425
    Gender:
    Female
    Location:
    Sofia, Bulgaria
    Practicing medicine in:
    Bulgaria
  4. Adnan Alhadlaq

    Adnan Alhadlaq Bronze Member

    Joined:
    Dec 13, 2013
    Messages:
    422
    Likes Received:
    55
    Trophy Points:
    850
    Gender:
    Male
    Occupation:
    Pediatric cardiologist
    Location:
    Halifax, Nova Scotia
    Practicing medicine in:
    Canada
    Pulmonary Abscess
     

  5. Ippocrate

    Ippocrate Well-Known Member

    Joined:
    Jan 26, 2014
    Messages:
    21
    Likes Received:
    0
    Trophy Points:
    240
    Gender:
    Male
    Practicing medicine in:
    Italy
    Pulmonary abscess
     

  6. Ippocrate

    Ippocrate Well-Known Member

    Joined:
    Jan 26, 2014
    Messages:
    21
    Likes Received:
    0
    Trophy Points:
    240
    Gender:
    Male
    Practicing medicine in:
    Italy
    Pulmonary abscess
     

  7. Ippocrate

    Ippocrate Well-Known Member

    Joined:
    Jan 26, 2014
    Messages:
    21
    Likes Received:
    0
    Trophy Points:
    240
    Gender:
    Male
    Practicing medicine in:
    Italy
    Pulmonary abscess
     

  8. clariesta

    clariesta Famous Member

    Joined:
    Jan 3, 2014
    Messages:
    111
    Likes Received:
    0
    Trophy Points:
    395
    Gender:
    Female
    Location:
    Barranquilla
    Practicing medicine in:
    Colombia

  9. Balasankar

    Balasankar Famous Member

    Joined:
    Jan 24, 2014
    Messages:
    119
    Likes Received:
    1
    Trophy Points:
    400
    Gender:
    Male
    Location:
    Kottayam
    Practicing medicine in:
    India
    Lung abscess
     

  10. burcucatiker

    burcucatiker Well-Known Member

    Joined:
    Feb 2, 2014
    Messages:
    35
    Likes Received:
    0
    Trophy Points:
    245
    Gender:
    Female
    Practicing medicine in:
    Turkey
  11. lisandri

    lisandri Young Member

    Joined:
    Feb 3, 2014
    Messages:
    3
    Likes Received:
    1
    Trophy Points:
    20
    Gender:
    Male
    Occupation:
    Doctor
    Location:
    cbba
    Practicing medicine in:
    Bolivia
    Absceso pulmonar
     

  12. Zuber

    Zuber Famous Member

    Joined:
    Jan 26, 2014
    Messages:
    82
    Likes Received:
    0
    Trophy Points:
    295
    Gender:
    Male
    Practicing medicine in:
    India
    Cavity
     

  13. anacantero

    anacantero Famous Member

    Joined:
    Jan 30, 2014
    Messages:
    74
    Likes Received:
    1
    Trophy Points:
    295
    Gender:
    Female
    Practicing medicine in:
    Spain
    absceso pulmonar o quiste
     

  14. Mohammedsordahi

    Mohammedsordahi Bronze Member

    Joined:
    Dec 24, 2013
    Messages:
    538
    Likes Received:
    25
    Trophy Points:
    1,275
    Gender:
    Male
    Occupation:
    Nurse
    Location:
    Yemen, Al Hudaydah, Yemen
    Practicing medicine in:
    Yemen
    lung abscess
     

  15. maria chiara

    maria chiara Well-Known Member

    Joined:
    Dec 28, 2013
    Messages:
    26
    Likes Received:
    0
    Trophy Points:
    240
    Gender:
    Female
    Practicing medicine in:
    Italy
    ascesso polmonare
     

  16. fatma yilmaz

    fatma yilmaz Famous Member

    Joined:
    Feb 23, 2014
    Messages:
    45
    Likes Received:
    1
    Trophy Points:
    275
    Gender:
    Female
    Practicing medicine in:
    Turkey

  17. fatma yilmaz

    fatma yilmaz Famous Member

    Joined:
    Feb 23, 2014
    Messages:
    45
    Likes Received:
    1
    Trophy Points:
    275
    Gender:
    Female
    Practicing medicine in:
    Turkey
  18. Khalida Babayeva

    Khalida Babayeva Well-Known Member

    Joined:
    Feb 23, 2014
    Messages:
    40
    Likes Received:
    0
    Trophy Points:
    245
    Gender:
    Female
    Location:
    Baku, Azerbaijan
    Practicing medicine in:
    Azerbaijan
  19. Khalida Babayeva

    Khalida Babayeva Well-Known Member

    Joined:
    Feb 23, 2014
    Messages:
    40
    Likes Received:
    0
    Trophy Points:
    245
    Gender:
    Female
    Location:
    Baku, Azerbaijan
    Practicing medicine in:
    Azerbaijan

Share This Page

<