The Apprentice Doctor

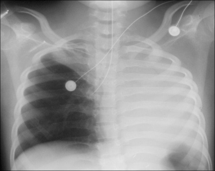
What is the diagnosis? What happened here?

Discussion in 'Spot Diagnosis' started by Branka, Feb 7, 2014.

?

What is the diagnosis? What happened here?

  1. Atelectasis RUL due to Endotracheal Tube

    71.0%
  2. Atelectasis RUL

    30.0%
Multiple votes are allowed.
  1. Dark-Knight

    Dark-Knight Famous Member

    Joined:
    Dec 8, 2013
    Messages:
    96
    Likes Received:
    0
    Trophy Points:
    295
    Gender:
    Male
    Practicing medicine in:
    Mauritius

  2. maria chiara

    maria chiara Well-Known Member

    Joined:
    Dec 28, 2013
    Messages:
    26
    Likes Received:
    0
    Trophy Points:
    240
    Gender:
    Female
    Practicing medicine in:
    Italy
  3. nader77

    nader77 Famous Member

    Joined:
    Dec 23, 2013
    Messages:
    88
    Likes Received:
    1
    Trophy Points:
    300
    Gender:
    Male
    Practicing medicine in:
    Iran
    hemothorax
     

  4. nader77

    nader77 Famous Member

    Joined:
    Dec 23, 2013
    Messages:
    88
    Likes Received:
    1
    Trophy Points:
    300
    Gender:
    Male
    Practicing medicine in:
    Iran
  5. Kelvin

    Kelvin Famous Member

    Joined:
    Feb 1, 2014
    Messages:
    26
    Likes Received:
    1
    Trophy Points:
    250
    Gender:
    Male
    Practicing medicine in:
    Venezuela
  6. billiatty

    billiatty Famous Member

    Joined:
    Jan 13, 2014
    Messages:
    63
    Likes Received:
    1
    Trophy Points:
    300
    Gender:
    Male
    Practicing medicine in:
    Sudan

  7. Apokaw

    Apokaw Well-Known Member

    Joined:
    Dec 22, 2013
    Messages:
    46
    Likes Received:
    0
    Trophy Points:
    240
    Gender:
    Male
    Practicing medicine in:
    Malaysia
    Lung collapsecollapse
     

  8. Daniel_MD

    Daniel_MD Well-Known Member

    Joined:
    Nov 23, 2013
    Messages:
    19
    Likes Received:
    3
    Trophy Points:
    240
    Gender:
    Male
    Practicing medicine in:
    Argentina
    L L atelectasis
     

  9. mamomunir

    mamomunir Famous Member

    Joined:
    Feb 7, 2014
    Messages:
    152
    Likes Received:
    0
    Trophy Points:
    395
    Gender:
    Male
    Practicing medicine in:
    United Arab Emirates

  10. mamomunir

    mamomunir Famous Member

    Joined:
    Feb 7, 2014
    Messages:
    152
    Likes Received:
    0
    Trophy Points:
    395
    Gender:
    Male
    Practicing medicine in:
    United Arab Emirates
    atelec
     

  11. aangeell

    aangeell Well-Known Member

    Joined:
    Feb 6, 2014
    Messages:
    16
    Likes Received:
    0
    Trophy Points:
    225
    Gender:
    Female
    Location:
    Kottayam
    Practicing medicine in:
    India
    atelectasis
     

  12. rajat dash

    rajat dash Well-Known Member

    Joined:
    Feb 15, 2014
    Messages:
    35
    Likes Received:
    0
    Trophy Points:
    245
    Gender:
    Male
    Location:
    Cuttack, Orissa
    Practicing medicine in:
    India
    left lung collapse.
     

  13. titobin

    titobin Famous Member

    Joined:
    Nov 30, 2013
    Messages:
    121
    Likes Received:
    4
    Trophy Points:
    410
    Gender:
    Male
    Occupation:
    medical student
    Practicing medicine in:
    Philippines
    pleural effusion
     

  14. fatma yilmaz

    fatma yilmaz Famous Member

    Joined:
    Feb 23, 2014
    Messages:
    45
    Likes Received:
    1
    Trophy Points:
    275
    Gender:
    Female
    Practicing medicine in:
    Turkey

Share This Page

<