The Apprentice Doctor

Whats the Diagnosis ?

Discussion in 'Case Studies' started by Xerxles, Apr 24, 2013.

  1. imlisa2u

    imlisa2u Well-Known Member

    Joined:
    Jun 25, 2014
    Messages:
    18
    Likes Received:
    0
    Trophy Points:
    220
    Gender:
    Female
    Practicing medicine in:
    United States
  2. Ali Almfraji

    Ali Almfraji Well-Known Member

    Joined:
    Nov 24, 2013
    Messages:
    12
    Likes Received:
    0
    Trophy Points:
    225
    Gender:
    Male
    Practicing medicine in:
    Iraq
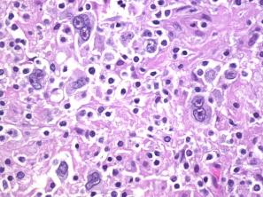
    Hodgkin`s lymphoma
     

  3. drjahan

    drjahan Famous Member

    Joined:
    Oct 10, 2014
    Messages:
    32
    Likes Received:
    1
    Trophy Points:
    250
    Gender:
    Male
    Practicing medicine in:
    Bangladesh
    owl's eye appearance dx Hodgkins lymphoma
     

  4. amnarafiq34

    amnarafiq34 Famous Member

    Joined:
    Jan 9, 2014
    Messages:
    29
    Likes Received:
    1
    Trophy Points:
    250
    Gender:
    Female
    Practicing medicine in:
    Italy
    Hodgkin
     

  5. Dr.jebsy

    Dr.jebsy Well-Known Member

    Joined:
    Feb 21, 2015
    Messages:
    12
    Likes Received:
    1
    Trophy Points:
    230
    Gender:
    Female
    Practicing medicine in:
    United States
    Hodgkin lymphoma
     

Share This Page

<